ΥΠΗΡΕΣΙΕΣ ΠΑΙΔΟΔΟΝΤΙΑΤΡΟΥ

Προηγμένη οδοντιατρική φροντίδα ​​​​​​​& αρμονική συνεργασία με το παιδί!

Αντιμετώπιση έκτακτων περιστατικών

- Οδοντικοί τραυματισμοί (νεογιλών και μόνιμων δοντιών)
- Πονόδοντος
- Απόστημα (πρήξιμο)
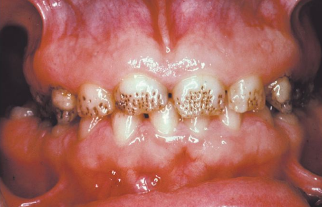
- Στοματίτιδες (αφθώδης στοματίτιδα, ερπητική ουλοστοματίτιδα κ.ά.)

image-351118-ypiresies-45c48.jpg

Πρόληψη

- Κλινικός (και όταν απαιτείται) ακτινογραφικός έλεγχος
- Καθαρισμός δοντιών (αφαίρεση οδοντικής πλάκας και πέτρας)
- Εκπαίδευση στη στοματική υγιεινή (επίδειξη βουρτσίσματος, χρήση οδοντικού νήματος κ.λπ.)
- Φθορίωση δοντιών
- Προληπτικές καλύψεις οπών και σχισμών ( sealants)
- Οδηγίες διατροφής (διατροφικές συμβουλές)
- Αθλητικοί νάρθηκες (προστασία δοντιών από τραυματισμούς κατά την άσκηση αθλητικών δραστηριοτήτων)
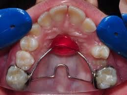
- Προληπτική ορθοδοντική (διατήρηση χώρου, αντιμετώπιση επιβλαβών στοματικών έξεων, όπως χρήση μπιμπερό, θηλασμός δακτύλου, χρήση πιπίλας, ονυχοφαγία, στοματική αναπνοή, θεραπεία πρόσθιας ή οπίσθιας σταυροειδούς σύγκλεισης κ.ά.)

- Νάρθηκες για αντιμετώπιση τριξίματος δοντιών

Θεραπεία

- Εμφράξεις (σφραγίσματα)
- Απονευρώσεις (πολφοτομή και ενδοδοντική θεραπεία νεογιλών και μόνιμων δοντιών, τεχνικές αντιμετώπισης αδιάπλαστων δοντιών με νεκρό πολφό)
- Αντιμετώπιση προβλημάτων διάπλασης δοντιών (συγγενείς ελλείψεις, υπεράριθμα, ατελής αδαμαντινογένεση, υπενασβεστίωση και υποπλασία δοντιών κ.ά.)

- Χειρουργική διευκόλυνση ανατολής δοντιών
- Εξαγωγές
- Θεραπεία ουλίτιδας, κακοσμίας και περιοδοντικών νόσων
- Αποκατάσταση με τοποθέτηση ανοξείδωτων στεφανών (συνήθως κατόπιν ενδοδοντικής θεραπείας ή πολφοτομής)
- Αντιμετώπιση δυσλειτουργιών της κροταφογναθικής διάρθρωσης (τρίξιμο ή σφίξιμο δοντιών)

Μαρία Καρανίκα, Παιδοδοντίατρος
✓ Ολοκληρωμένες οδοντιατρικές υπηρεσίες για παιδιά κάθε ηλικίας
✓ Διαχείριση φόβου & άγχους του μικρού ασθενή
✓ Τήρηση όλων των προδιαγραφών ασφαλείας & υγιεινής
✓ ​​​​​​​Ανώδυνη οδοντιατρική αντιμετώπιση, Δημιουργία σχέσης εμπιστοσύνης με το παιδί!